Looking for top-rated cosmetic dentistry in Rancho Mirage? At Country Club Dentistry, Dr. Rod Strober delivers personalized smile makeovers tailored to Coachella Valley residents. Whether you’re in Palm Springs, Palm Desert, Indian Wells, La Quinta, or Cathedral City, our services like teeth whitening, veneers, and dental implants help you achieve a confident, radiant smile. With over 30 years of experience, we’re your trusted cosmetic dentist in Coachella Valley.
Book OnlineCosmetic Dentistry Across Coachella Valley
Proudly serving Rancho Mirage cosmetic dentistry needs and beyond:
- Palm Springs: Quick teeth whitening sessions for busy lifestyles.
- Palm Desert: Advanced veneers for a flawless Hollywood smile.
- Indian Wells: Discreet dental implants with minimal downtime.
- La Quinta: Custom smile makeovers using BioClear technology.
- Cathedral City: Affordable orthodontics with SureSmile Aligners.
Contact us today at (760) 832-7915 for a free consultation!
Why Your Smile Matters
Many dentists view cosmetics as being secondary, but we know that looking attractive is one of your teeth’s vital functions. Your smile is one of the first things people notice about you, and it’s what people are most likely to remember.
Hiring managers have said that they are more likely to hire people with more attractive smiles–and more likely to offer them a higher salary. An attractive smile makes you look more intelligent and more successful.
In addition, online dating surveys show that people consider a smile the most important thing they look for in a date, and many say they won’t go on a second date with someone who has an unattractive smile.
Clearly, there are wide-ranging consequences for people with unattractive smiles.
Why Are You Unhappy with Your Smile?
The good news is that you don’t have to live with an unattractive smile. Modern cosmetic dentistry has tools to fix almost any complaint you may have about the appearance of your smile. We can help if your teeth are:
- Discolored
- Gapped
- Crooked
- Crowded
- Chipped
- Cracked
- Worn
- Missing
In fact, we usually have more than one way to fix these concerns about the appearance of your smile with cosmetic dentistry.
Discolored Teeth Treatments
Tooth discoloration happens naturally with time, but that doesn’t mean that we are happy with having an aged smile. Discoloration can often be resolved simply with teeth whitening. Teeth whitening removes stains from your teeth. But sometimes, your teeth are discolored for other reasons. Then we might recommend other cosmetic dentistry procedures like veneers, BioClear, or dental crowns to cover the darkened teeth.
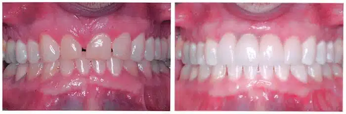
Gapped, Crooked, or Crowded Teeth
We can also improve the appearance of your smile if they don’t have attractive spacing. Orthodontics is the traditional approach to these problems. We offer two convenient approaches: Sure Smile Aligners. Whether you have gaps between your teeth, have crooked teeth, or crowded teeth, we have many potential solutions. If the gaps are actually black triangles at the base of your teeth, BioClear is the best approach, but other gaps between teeth might benefit from dental bonding or veneers. For more widespread spacing problems, veneers might be a better choice.
Chipped, Cracked, or Worn Teeth
If your teeth have been damaged, whether it’s a minor chip, a major crack, or a lifetime of wear, we can repair them. For minor chips, dental bonding is a good option, although BioClear and veneers are longer-lasting repairs.
For more serious cracks, a dental crown can help provide more structural support. However, we have to evaluate your tooth to make sure the crack doesn’t reach to the vulnerable pulp at the center. If the pulp has been exposed, we might recommend root canal therapy to head off the infection.
Missing Teeth
Missing teeth are the most visible problem with your smile. If you are missing one or more teeth, there are multiple options for replacing them. With just one missing tooth, you might choose a dental bridge or a dental implant, which is the most like your natural teeth.
If you are missing all your teeth or facing their loss, we can replace them with FOY® Dentures or All-on-x implant bridges. Both approaches have advantages and limitations. During your consultation, we can talk about the best tooth replacement option for you.
FAQs
What Is the Process for Getting Dental Implants?
Getting dental implants involves several stages over a period of a few months:
- Stage 1: First, Dr. Strober conducts a thorough examination, which includes X-rays. During this exam, he will assess the jawbone’s condition.
- Stage 2: If necessary, Dr. Strober will perform bone grafting to strengthen the jawbone.
- Stage 3: Once the jawbone is ready, he will insert a titanium post into the bone. This post serves as the artificial tooth root.
- Stage 4: Next is a healing period of a few months. This allows the post to integrate with the bone.
- Stage 5: After healing, Dr. Strober places an abutment on the post and attaches a custom-made crown. This completes the implant process and restores functionality and appearance.
How Can I Maintain the Results of My Teeth Whitening Treatment?
You must adopt good oral hygiene practices to maintain your teeth whitening results.
Brush your teeth at least twice daily and floss at least once a day to remove plaque and prevent staining. Avoid foods and beverages known to stain teeth, such as coffee, tea, red wine, and certain berries. If you consume these, rinse your mouth or brush your teeth soon after.
Additionally, avoid smoking or using tobacco products, as they can cause significant staining. Regular dental check-ups and cleanings keep your smile bright. They also allow you to address any potential issues right away.
How Does Bioclear Differ From Traditional Bonding or Veneers?
Bioclear differs from traditional bonding and veneers in several ways:
- Minimally Invasive: Bioclear preserves more of the natural tooth structure than traditional veneers.
- Material Use: Bioclear uses clear plastic matrices for a more uniform restoration.
- Durability: These restorations are more durable and resistant to chipping than traditional bonding.
- Cost-Effective: Bioclear is often more affordable than veneers, providing a cost-effective alternative.
- Aesthetic: Bioclear offers a more natural appearance due to seamless blending with natural teeth.
- Procedure Time: This restoration can be completed in a single visit. Veneers may need several appointments.
- Flexibility: Bioclear is suitable for a variety of dental issues, including gaps, chips, and misshapen teeth.
How Do SureSmile® Aligners Differ From Traditional Braces?
SureSmile aligners are a modern alternative to traditional braces. They offer several distinct advantages:
- SureSmile aligners consist of clear, flexible plastic instead of metal wires and brackets. This makes them virtually invisible.
- SureSmile aligners are custom-designed to fit over your teeth. They gradually shift them into the desired position.
- SureSmile aligners are removable. They allow for easier cleaning and the ability to eat without restrictions. Traditional braces can trap food and make oral hygiene more challenging.
Put simply, SureSmile aligners often provide a more comfortable and less intrusive experience.
Why Choose Country Club Dentistry?
When you choose Country Club Dentistry for your cosmetic dentistry needs, you will receive care from Dr. Rod Strober. He is a renowned dental expert in Southern California with almost 30 years of experience.
Dr. Strober combines pioneering technology, extensive training, and an artistic personal touch to create outstanding smiles. His reputation for leading-edge dental practices and his commitment to excellence make Country Club Dentistry the ideal choice for those seeking superior cosmetic dental services. Trust in Dr. Strober’s expertise to achieve the smile you’ve always wanted.
Cosmetic Dentistry in Coachella Valley
Whether you’re looking for the smile of your dreams or just looking to get your youthful smile back, cosmetic dentist Dr. Rod Strober can help. Please call (760) 832-7915 today for an appointment with him at Country Club Dentistry in Rancho Mirage, CA.

